Menu

Neck and Shoulder Pain: Causes, symptoms, Diagnosis and Management

Neck1

Introduction

Neck and shoulder pain can disrupt daily life, limiting mobility and causing significant discomfort. At Alleviate Pain Clinic, we specialize in providing effective treatments tailored to each patient’s unique needs. Here, we answer common questions about neck and shoulder pain, offering insights into causes, symptoms, and advanced treatment options.

What causes neck and shoulder pain?

Neck and shoulder pain can stem from a variety of causes, ranging from everyday habits to underlying medical conditions. Here are some common reasons:

Poor Posture

Spending long hours hunched over a computer, looking down at a phone, or slouching can strain the muscles and ligaments in the neck and shoulders.

Examples: Forward head posture, rounded shoulders.

Muscle Strain

Overuse or sudden movements can lead to microtears in the muscles.

Examples: Carrying heavy bags, prolonged lifting, or sudden jerking motions.

Cervical Disc Issues

Conditions
  • Herniated Disc: A bulging disc presses on nerves, causing pain in the neck and sometimes radiating to the shoulder.
  • Cervical Spondylosis: Age-related wear and tear of the cervical spine leading to pain and stiffness.

Cervical Disc Issues

  • Herniated Disc: A bulging disc presses on nerves, causing pain in the neck and sometimes radiating to the shoulder.
  • Cervical Spondylosis: Age-related wear and tear of the cervical spine leading to pain and stiffness.

Rotator Cuff Injuries

Damage to the tendons or muscles around the shoulder joint.

Examples: Tears, tendinitis, or impingement.

Frozen Shoulder (Adhesive Capsulitis)

Shoulder stiffness and pain due to inflammation and reduced synovial fluid.

Symptoms: Difficulty moving the shoulder, pain worsens at night.

Nerve Compression

Conditions
  • Cervical Radiculopathy: Pinched nerve in the neck causing shooting pain, numbness, or weakness down the arm.
  • Thoracic Outlet Syndrome: Compression of nerves or blood vessels in the shoulder region.

Myofascial Pain Syndrome

Group 12
Patient having Neck and shoulder pain due to trigger points and their referral pattern treated successfully with trigger point injections at Alleviate Pain Clinic

Chronic pain disorder caused by the development of trigger points (knots of tight muscle) in the neck and shoulders.

  • Symptoms: Localized pain, referred pain patterns, and stiffness.
  • Causes: Stress, poor posture, overuse of muscles, or repetitive strain.

Fibromyalgia

A chronic condition characterized by widespread musculoskeletal pain, often accompanied by fatigue, sleep disturbances, and cognitive difficulties.

  • Symptoms in the Neck and Shoulders: Pain, tenderness to touch, and stiffness.
  • Causes: Exact cause is unknown, but it is linked to genetic predisposition, stress, and abnormal pain processing in the brain.

Referred Pain from Internal Organs

Sometimes, pain in the neck and shoulder is referred from other parts of the body.

Examples
  • Heart Problems: Pain radiating to the left shoulder and neck during a heart attack.
  • Gallbladder Issues: Pain in the right shoulder or neck due to gallstones.

Injuries or Trauma

Whiplash from car accidents, sports injuries, or falls.

Cervical Facet Joint Arthritis

Conditions
  • Osteoarthritis: Wear and tear of the joints.
  • Rheumatoid Arthritis: An autoimmune condition causing joint inflammation.

Stress and Tension

Emotional stress often leads to muscle tightness, particularly in the neck and shoulders.

What are the symptoms of neck and shoulder pain?

The symptoms of neck and shoulder pain can vary widely depending on the underlying cause. Here are the most common symptoms to watch for:

Pain

Types
  • Sharp or stabbing pain: Common in cases of nerve compression or acute injuries.
  • Dull, aching pain: Often seen in muscle strain or arthritis.
  • Radiating pain: Pain that spreads from the neck to the shoulders, arms, or upper back.

Stiffness

  • Description: Difficulty moving the neck or shoulder, especially after prolonged inactivity or upon waking up.
  • Conditions: Common in frozen shoulder, cervical spondylosis, or postural strain.

Muscle Spasms

  • Description: Sudden, involuntary contractions of neck or shoulder muscles, leading to tightness or cramping.
  • Conditions: Muscle strain, poor posture, or overuse.

Tingling or Numbness

Conditions
  • Cervical radiculopathy (pinched nerve).
  • Thoracic outlet syndrome.

Weakness

  • Description: Difficulty lifting objects or performing tasks requiring strength in the arms or shoulders.
  • Conditions: Nerve damage, rotator cuff injuries, or cervical disc herniation.

Headaches

  • Description: Pain that starts at the base of the skull and can radiate to the forehead or temples.
  • Conditions: Often associated with tension in neck muscles or cervical spine disorders.

Swelling or Tenderness

  • Description: The affected area may feel warm, tender, or swollen to the touch.
  • Conditions: Rotator cuff injuries, bursitis, or traumatic injuries.

Limited Range of Motion

  • Description: Difficulty turning the neck, raising the arm, or rotating the shoulder.
  • Conditions: Frozen shoulder, arthritis, or severe muscle strain.

Clicking or Popping Sounds

  • Description: A clicking or grinding sound during neck or shoulder movement.
  • Conditions: Cervical arthritis or shoulder joint issues.

Associated Symptoms

Examples
  • Chest pain and left shoulder pain: Could indicate heart-related problems.
  • Fever with pain: May suggest infection or inflammation (e.g., septic arthritis).

How is neck and shoulder pain diagnosed?

Diagnosing neck and shoulder pain involves a systematic evaluation to identify the root cause and develop an effective treatment plan. Here’s how healthcare professionals, like those at Alleviate Pain Clinic, approach the diagnostic process:

Medical History

What it involves
  • Understanding the onset, duration, and nature of the pain (e.g., sharp, dull, or radiating).
  • Asking about past injuries, lifestyle habits (e.g., posture, work environment), and pre-existing conditions (e.g., arthritis, diabetes).
  • Evaluating factors that worsen or relieve pain, such as movement, rest, or medications.

Why it matters: Helps narrow down potential causes, such as trauma, repetitive strain, or underlying medical conditions.

Physical Examination

Steps in the exam
  • Observation: Checking for visible deformities, swelling, or posture abnormalities.
  • Palpation: Feeling for tenderness, muscle spasms, or joint abnormalities.
  • Range of motion testing: Assessing neck and shoulder mobility and identifying movement limitations or pain triggers.
  • Strength testing: Evaluating muscle strength in the shoulders, arms, and neck.

Why it matters: Helps narrow down potential causes, such as trauma, repetitive strain, or underlying medical conditions.

Imaging Tests

Common imaging methods
  • X-rays: Reveal bone abnormalities, fractures, or signs of arthritis.
  • MRI (Magnetic Resonance Imaging): Provides detailed images of soft tissues, including muscles, tendons, and discs, to detect herniated discs, rotator cuff injuries, or ligament tears.
  • CT Scans: Offer cross-sectional views for diagnosing complex fractures or spinal issues.
  • Ultrasound: Useful for identifying soft tissue injuries like tendonitis or bursitis.

Why it matters: Confirms or rules out structural damage.

Electrodiagnostic Tests

When used

If nerve involvement is suspected.

  • EMG (Electromyography): Assesses the electrical activity of muscles to detect nerve dysfunction.
  • Nerve Conduction Studies: Measure how well nerves transmit signals to identify nerve compression or damage.

Why it matters: Essential for diagnosing conditions like cervical radiculopathy or thoracic outlet syndrome.

Laboratory Tests (if needed)

Purpose: To rule out systemic causes of pain.
Examples: Blood tests for inflammation (e.g., rheumatoid arthritis), infections, or metabolic conditions like gout.

Diagnostic Injections

  • What it involves: Injecting an anesthetic or steroid into specific areas (e.g., cervical facet joints or shoulder bursae) to pinpoint the pain source.
  • Why it matters: Confirms the involvement of specific joints or nerves.

Advanced Functional Tests

  • Posture analysis: Identifies poor ergonomic habits causing strain.
  • Motion-capture systems: Evaluate biomechanical issues in severe or chronic cases.

What are the treatment options for neck and shoulder pain?

Treatment for neck and shoulder pain depends on the underlying cause, severity of symptoms, and patient needs. At Alleviate Pain Clinic, we offer a wide range of options, from conservative therapies to advanced interventional procedures. Here’s a detailed overview:

Conservative Treatments

These are typically the first line of management for mild to moderate pain.

Medications

Over-the-counter (OTC) pain relievers: Ibuprofen, acetaminophen, or aspirin to reduce pain and inflammation.

Prescription medications
  • Muscle relaxants for spasms.
  • Corticosteroids for severe inflammation.
  • Nerve pain medications (e.g., gabapentin) for conditions like cervical radiculopathy.

Rest and Activity Modification

  • Avoiding activities that exacerbate pain, such as heavy lifting or prolonged use of electronic devices.
  • Gradual return to normal activities to prevent stiffness.

Physical Therapy (PT)

Purpose: Strengthen muscles, improve posture, and enhance flexibility.

Techniques
  • Stretching and strengthening exercises.
  • Manual therapy for muscle release.
  • Ergonomic training to correct posture.

Heat and Cold Therapy

  • Heat therapy: Relaxes tight muscles and improves circulation.
  • Cold therapy: Reduces inflammation and numbs acute pain.

Lifestyle Modifications

  • Ergonomic adjustments at work.
  • Incorporating regular exercise and stress management techniques like yoga or meditation.

Interventional Pain Management

For persistent or severe pain, these minimally invasive procedures provide targeted relief.

Trigger Point Injections

  • What it does: Relieves muscle knots and spasms.
  • Best for: Muscle strain, tension headaches.

Cervical Epidural Steroid Injections

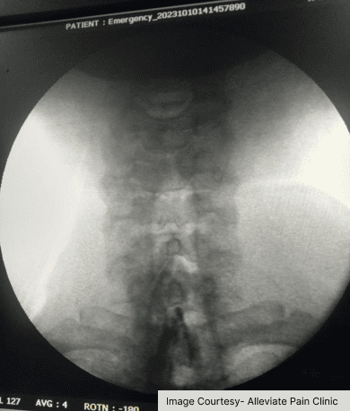
Group 14
Cervical epidural injection done under fluoroscopy at Alleviate Pain Clinic, Bengaluru
  • What it does: Relieves muscle knots and spasms.
  • Best for: Muscle strain, tension headaches.

Cervical Epidural Steroid Injections

  • What it does: Relieves pain originating from inflamed cervical joints.
  • Best for: Arthritis, cervical spondylosis.

Radiofrequency Ablation (RFA)

  • What it does: Uses heat to disrupt pain signals from nerves.
  • Best for: Long-term relief from chronic neck or shoulder pain.

Regenerative Medicine

These advanced therapies stimulate the body’s natural healing process.

Platelet-Rich Plasma (PRP) Therapy

  • What it does: Accelerates tissue repair using concentrated platelets from the patient’s own blood.
  • Best for: Tendonitis, rotator cuff injuries, cervical facet joint arthritis,

Stem Cell Therapy

  • What it does: Promotes regeneration of damaged tissues.
  • Best for: Chronic soft tissue injuries or degenerative joint conditions like cervical facet joint arthritis

Prolotherapy

  • What it does: Induces inflammation and repair using an irritant.( most commonly a mixture of dextrose and a local anaesthetic is used)
  • Best for: Cervical Whiplash injury, ligament laxity, cervical disc degenerative disease

Surgical Options (If Necessary)

Surgery is considered only when conservative and interventional treatments fail.

Examples
  • Disc replacement or fusion for severe cervical spine issues.
  • Rotator cuff repair for significant tendon tears.

Holistic and Alternative Therapies

Complementary approaches can enhance pain relief and overall well-being.

  • Chiropractic care: Adjustments to improve spinal alignment.
  • Acupuncture: Stimulates nerves and muscles to relieve pain.
  • Massage therapy: Reduces tension and improves circulation.

Self-Care and Home Remedies

  • Simple exercises: Neck stretches, shoulder rolls, and chin tucks.
  • Posture correction: Maintaining proper alignment during daily activities.
  • Use of supportive devices: Neck braces or ergonomic pillows.

When should I see a doctor for neck and shoulder pain?

While occasional neck and shoulder pain from minor strains or poor posture often resolves with rest and self-care, certain signs and symptoms warrant prompt medical attention. Here’s when you should see a doctor:

Persistent Pain

  • Description: Pain that lasts for more than a week or worsens over time despite home remedies.
  • Possible Causes: Chronic conditions like arthritis, herniated discs, or rotator cuff injuries.

Pain After an Injury or Accident

  • Description: Neck or shoulder pain following a car accident, sports injury, or fall.
  • Possible Causes: Whiplash, fractures, ligament tears, or dislocations.
  • Why See a Doctor? Early diagnosis can prevent long-term complications.

Tingling, Numbness, or Weakness

Description: Sensations of “pins and needles,” numbness, or reduced strength in the arms, hands, or fingers.

Possible Causes
  • Cervical radiculopathy (pinched nerve).
  • Thoracic outlet syndrome.
  • Spinal cord compression.

Limited Range of Motion

  • Description: Inability to move your neck or shoulder fully due to stiffness or pain.
  • Possible Causes: Frozen shoulder, severe muscle strain, or joint inflammation.
  • When It’s Concerning: If it interferes with daily activities like dressing or driving.

Severe or Unexplained Symptoms

Examples
  • Sudden, sharp pain in the neck or shoulder.
  • Swelling, redness, or warmth in the affected area.
  • Clicking or grinding sounds with movement.

Possible Causes: Tendon ruptures, infections, or arthritis flares.

Associated Symptoms

Examples
  • Chest pain or left shoulder pain: Could indicate heart-related issues (e.g., heart attack).
  • Fever with pain: May signal an infection such as septic arthritis.
  • Severe headaches or dizziness: Could be related to cervical spine problems or neurological conditions.

Pain That Interferes with Sleep or Quality of Life

  • Description: Pain that disrupts your ability to rest, work, or enjoy daily activities.
  • Why See a Doctor? Chronic pain can impact mental health and overall well-being if left untreated.

Failure to Improve with Home Treatments

  • Description: No relief from over-the-counter pain relievers, heat/cold therapy, or stretching exercises after several days.
  • Why See a Doctor? Persistent symptoms may require professional evaluation and targeted interventions.

Can exercises help relieve neck and shoulder pain?

Yes, exercises are highly effective for relieving neck and shoulder pain, as they strengthen muscles, improve flexibility, and enhance posture. Regularly incorporating specific exercises into your routine can alleviate pain and prevent future issues. Here are some of the best exercises for neck and shoulder pain relief:

Neck Exercises

Chin Tucks

How to Perform

  • Sit or stand upright.
  • Gently pull your chin toward your chest, creating a “double chin” without bending the neck.
  • Hold for 5 seconds and release. Repeat 10 times.
  • Benefits: Improves posture and strengthens deep neck muscles.
  • Caution: Avoid jerking movements to prevent strain.

Side-to-Side Neck Stretch

How to Perform

  • Tilt your head to one side, bringing your ear toward your shoulder.
  • Hold for 15-20 seconds, then switch sides.
  • Repeat 3-5 times on each side.

Benefits: Stretches and relaxes neck muscles.

Shoulder Exercises

Shoulder Rolls

How to Perform

  • Sit or stand with your arms relaxed at your sides.
  • Roll your shoulders forward in a circular motion 10 times.
  • Reverse the motion and roll them backward 10 times.

Benefits: Reduces tension and improves shoulder mobility.

Wall Angels

How to Perform

  • Stand with your back against a wall, feet a few inches away.
  • Raise your arms to form a “W” shape, then slowly slide them up into a “Y.”
  • Repeat 8-10 times.

Benefits: Improves shoulder alignment and posture.

Combined Neck and Shoulder Stretches

Cross-Body Stretch

How to Perform

  • Extend one arm across your body and hold it with your opposite hand.
  • Hold for 15-20 seconds, then switch sides.
  • Repeat 3-5 times.

Benefits: Stretches the back of the shoulder and upper back.

Thread-the-Needle Stretch

How to Perform

  • Start on all fours.
  • Slide one arm under the other, lowering your shoulder and head to the floor.
  • Hold for 15-30 seconds and repeat on the other side.

Benefits: Relieves tension in the upper back, neck, and shoulders.

Strengthening Exercises

Resistance Band Rows

How to Perform

  • Secure a resistance band at chest height.
  • Hold the band with both hands and pull it toward your chest, keeping elbows close to your sides.
  • Slowly return to the starting position. Repeat 10-12 times.

Benefits: Strengthens the upper back and shoulders.

Isometric Neck Exercises

How to Perform

  • Place your hand on your forehead and gently press against it while resisting with your neck muscles.
  • Hold for 5-10 seconds and repeat 3-5 times.
  • Repeat on the sides and back of your head.

Benefits: Builds neck strength and stability.

Postural Awareness Exercises

Cat-Cow Stretch

How to Perform

  • Start on all fours.
  • Inhale and arch your back (cow pose), lifting your head and tailbone.
  • Exhale and round your back (cat pose), tucking your chin and pelvis.
  • Repeat 8-10 times.

Benefits: Improves spinal mobility and posture.

Who Can Benefit from These Exercises?

  • People with mild to moderate neck and shoulder pain caused by muscle strain, poor posture, or tension.
  • Those recovering from injuries or managing chronic conditions like cervical spondylosis (under supervision).
  • Office workers, athletes, or anyone prone to repetitive strain injuries.

Precautions

  • Avoid exercises that worsen pain or cause discomfort.
  • Perform exercises slowly and gently to prevent further strain.
  • Consult a doctor or physical therapist if you have a history of neck or shoulder injuries or chronic conditions.

How Can Alleviate Pain Clinic Help?

Picture3

At Alleviate Pain Clinic, we pride ourselves on providing comprehensive and patient-centered care for neck and shoulder pain. Our multidisciplinary approach ensures every patient receives a carefully tailored treatment plan designed to address the root cause of their pain and improve their quality of life.

Comprehensive Diagnosis

We start with a thorough assessment to pinpoint the exact cause of your pain. Our diagnostic process includes:

  • Consultation with Pain Management Physicians: Specialists in identifying and treating pain using advanced techniques.
  • Orthopedic Evaluation: Detecting structural issues like disc problems, arthritis, or rotator cuff injuries.
  • Imaging and Electrodiagnostic Tests: X-rays, MRIs, or nerve conduction studies to provide detailed insights.
  • Lifestyle and Posture Analysis: Identifying habits or workplace ergonomics contributing to your discomfort.

Tailor-Made Treatment Plans

Our team collaborates to create a customized treatment plan that addresses your specific condition and lifestyle needs. Each plan is curated based on inputs from the following experts:

Pain Management Physicians

Utilize advanced interventional techniques such as:

  • Cervical epidural injections for nerve-related neck pain.
  • Facet joint injections to alleviate joint inflammation.
  • Radiofrequency ablation for long-term relief from chronic pain.

Orthopedic Specialists

Focus on addressing structural abnormalities through:

  • Non-surgical treatments for degenerative conditions.
  • Referral for surgery if absolutely necessary.

Physiotherapists

Design targeted exercise regimens to:

  • Strengthen neck and shoulder muscles.
  • Improve posture and flexibility.
  • Prevent future episodes of pain.

Nutritionists

  • Provide dietary advice to reduce inflammation and support overall joint and muscle health.
  • Focus on weight management to minimize strain on the cervical spine and shoulders.

Psychologists

  • Offer counseling to manage the mental and emotional impact of chronic pain.
  • Teach stress management techniques, as stress can exacerbate muscle tension and pain.

Multidisciplinary Benefits

Our collaborative model ensures

  • Accurate diagnosis: Input from multiple specialists reduces the risk of missed or incorrect diagnoses.
  • Holistic care: Addressing not just the physical aspects of pain but also emotional and lifestyle factors.
  • Efficient treatment: Combining therapies for faster and more effective relief.

Advanced Interventional and Regenerative Therapies

For persistent or severe cases, we offer cutting-edge solutions like:

Ongoing Support and Education

At Alleviate Pain Clinic, we believe in empowering patients. We provide:

  • Education: Teaching posture correction, ergonomic adjustments, and self-care techniques.
  • Follow-Up Care: Regular evaluations to track progress and adjust treatment plans as needed.
  • Prevention Tips: Helping patients avoid future episodes of neck and shoulder pain.

we don’t just treat symptoms—we address the root cause of your pain through a collaborative, multidisciplinary approach. Whether it’s interventional pain management, physical therapy, or emotional support, our team works together to help you achieve lasting relief and regain your quality of life. Contact us today to begin your journey to pain-free living!

we don’t just treat symptoms—we address the root cause of your pain through a collaborative, multidisciplinary approach. Whether it’s interventional pain management, physical therapy, or emotional support, our team works together to help you achieve lasting relief and regain your quality of life. Contact us today to begin your journey to pain-free living!

Related Videos

Leave a Comment

Your email address will not be published. Required fields are marked *


Wait! Don’t
Leave in Pain!

We’re just call away from helping you live pain-free.
Call now for a consultation 080-25256878

Call Us Now

Limited Slots Available Today

Scroll to Top