Introduction
Ankle pain while walking can disrupt daily life and signal underlying issues requiring prompt attention. Whether it’s a sharp twinge, dull ache, or stiffness, understanding the causes and exploring the appropriate treatment options can make all the difference. This blog delves into the common causes, symptoms, diagnostic methods, and treatments for ankle pain, tailored to provide relief and improve mobility.
Common Causes of Ankle Pain While Walking
Sprains, Strains, and Tears
Lateral Ligament Complex Injuries
- The lateral ligament complex includes three primary ligaments: anterior talofibular ligament (ATFL), calcaneofibular ligament (CFL), and posterior talofibular ligament (PTFL). These ligaments stabilize the outer side of the ankle.
- Most injuries occur due to an inversion injury, where the ankle rolls outward, causing tearing or overstretching of the ligaments. Symptoms include swelling, bruising, and pain on the outer side of the ankle.
- Severe tears can lead to instability and chronic pain.
Deltoid Ligament Injuries
- The deltoid ligament is a strong, triangular structure on the inner side of the ankle. Injuries are less frequent due to their strength but can occur with excessive eversion (ankle rolling inward) or direct trauma.
- Symptoms include swelling, tenderness along the inner ankle, and difficulty bearing weight. Deltoid ligament injuries often accompany fractures or other severe injuries.
Arthritis
Ankle Joint Arthritis
- Arthritis can develop due to osteoarthritis (wear and tear), post-traumatic arthritis (following an injury), or rheumatoid arthritis (an autoimmune condition).
- Symptoms include stiffness, swelling, and pain that worsens with activity. Over time, cartilage wears down, leading to bone-on-bone contact, deformity, and reduced mobility.
- This condition commonly affects middle-aged and older adults or those with a history of ankle injuries.
Pictorial representation of arthritis of the ankle
Subtalar Joint Arthritis
- This occurs in the joint below the ankle, which helps with side-to-side foot movement. It is often secondary to trauma, chronic ligament instability, or inflammatory conditions like rheumatoid arthritis.
- Pain is typically felt on the outer or back of the ankle and worsens with uneven surfaces or twisting movements.
Post-Traumatic or Post-Surgical Stiffness
Stiff ankle
- After an injury or surgery, scar tissue formation or improper healing can limit joint mobility and flexibility.
- Common causes include untreated fractures, prolonged immobilization, or inadequate rehabilitation.
- Symptoms include a restricted range of motion, stiffness, and discomfort during walking. This is often accompanied by weakness in the surrounding muscles due to reduced activity.
Ligament Laxity
- Ligament laxity results from chronic overstretching or repeated sprains. Genetic predisposition or conditions like Ehlers-Danlos syndrome can also lead to generalized ligament looseness.
- Symptoms include frequent ankle rolling, a feeling of instability, and pain with walking or uneven surfaces.
- If untreated, ligament laxity can lead to secondary issues such as early arthritis, chronic instability, and further injuries.
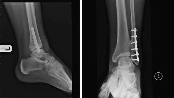
Malunion or Non-Union
Inadequate bony healing is seen 9-week post op on x-ray
- Malunion occurs when fractured bones heal improperly, causing misalignment. Non-union refers to fractures that fail to heal altogether.
- Both conditions lead to altered biomechanics, abnormal stress on the ankle joint, and persistent pain.
- Symptoms include deformity, instability, swelling, and pain exacerbated by weight-bearing or physical activity.
- Common in cases of neglected fractures or inadequate surgical fixation.
Rheumatoid Arthritis
Ankles affected with rheumatoid arthritis
- An autoimmune condition where the body attacks the synovial lining of the joint, leading to chronic inflammation.
- Over time, this can damage cartilage, ligaments, and bones, resulting in joint deformity and instability.
- Symptoms include prolonged morning stiffness, swelling, warmth, and redness around the joint.
- If untreated, rheumatoid arthritis can lead to severe disability and deformity in the ankle joint.
Fibrosis from Old Injuries
Mri showing arthrofibrosis of ankle
- Fibrosis refers to thickened, stiff scar tissue that develops after trauma or surgery. It limits flexibility and causes discomfort, especially during movement.
- Common in people who have sustained significant injuries like ligament tears, fractures, or surgeries that left scarring.
- Symptoms include restricted movement, a tight sensation, and pain during activity. Fibrosis can also contribute to instability.
Tendonitis
Tendonitis occurs due to repetitive strain, overuse, or sudden increases in activity, particularly in tendons like the Achilles or peroneal tendons.
Achilles Tendonitis
- Pain at the back of the ankle, often aggravated by walking, running, or climbing stairs. Swelling and tenderness are typical.
- Common in athletes or individuals who suddenly increase physical activity levels.
Peroneal Tendonitis
Affects the tendons on the outer side of the ankle, leading to pain, swelling, and instability.
Bursitis
Image showing retrocalcaneal bursitis
- Bursae are small, fluid-filled sacs that reduce friction between bones and soft tissues. Bursitis occurs when these sacs become inflamed due to repetitive stress, poor footwear, or trauma.
- Symptoms include localized swelling, redness, tenderness, and pain, especially during walking or ankle movement.
- Common sites for bursitis in the ankle include the retrocalcaneal bursa (near the Achilles tendon) and the lateral malleolus (outer ankle)
Symptoms and Their Correlation with Causes
Understanding the symptoms of ankle pain can help identify the root cause
| Symptom | Possible Causes |
|---|---|
| Pain on the outer side of the ankle | Lateral ligament sprains or strains, laxity |
| Pain on the inner side of the ankle | Deltoid ligament injuries, arthritis |
| Stiffness and reduced range of motion | Post-traumatic stiffness, arthritis, fibrosis |
| Swelling and warmth | Rheumatoid arthritis, bursitis |
| Pain at the back of the ankle | Achilles tendonitis |
| Instability | Ligament tears, malunion, non-union, laxity |
| Clicking or locking sensation | Subtalar arthritis, scar tissue from past injuries |
Diagnostic Approaches
Accurate diagnosis is key to effective treatment. Common diagnostic tools include:
- Clinical Examination: Assessment of swelling, tenderness, range of motion, and instability.
- Imaging Studies
- X-Ray: Identifies fractures, bone alignment, and arthritis-related changes.
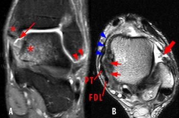
- MRI (Gold Standard): Detects soft tissue injuries, ligament tears, tendonitis, and arthritis.
The proton density-weighted fat-suppressed coronal image of the ankle (A) demonstrates partial avulsion of the anterior talofibular ligament at the distal fibula (arrowheads). The axial T2-weighted image (B)demonstrates a complete tear of the anterior talofibular ligament (thick arrow). Bone bruises are seen in the medial talus and medial malleolus (asterisks) resulting from impaction associated with a severe inversion injury
- CT Scan: Provides detailed images of bone injuries, helpful in malunion or non-union cases.
- Diagnostic Ultrasound: Useful for identifying bursitis, tendonitis, and ligament injuries in real-time.
Ultrasound scan showing Anterior Talofibular ligament( ATFL) injury
Treatment Options for Ankle Pain
Conservative Management
- Rest, Ice, Compression, Elevation (RICE): Essential in the initial stages of injury.
- Pain Medications: Non-steroidal anti-inflammatory drugs (NSAIDs) reduce inflammation and alleviate pain.
- Bracing or Splinting: Provides support and prevents further injury.
Physical Therapy for Ankle Pain
- Restore Range of Motion (ROM): Gentle stretching and mobilization techniques reduce stiffness and improve flexibility in the ankle joint and surrounding structures.
- Strengthen Supporting Muscles: Targeted exercises for muscles around the ankle (calf, tibialis anterior, and peroneal muscles) help stabilize the joint and prevent further injuries.
- Improve Joint Stability: Proprioceptive exercises enhance balance and coordination, especially in cases of ligament laxity or after repeated sprains.
- Reduce Pain and Inflammation: Modalities like ultrasound therapy, electrical stimulation, and cold therapy alleviate pain and swelling.
- Prevent Recurrence of Injuries: By addressing biomechanical issues such as improper gait or muscle imbalances, physical therapy lowers the risk of future injuries.
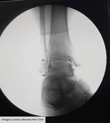
Image guided Regenerative Injection Treatments
Platelet-Rich Plasma (PRP) Therapy
How It Works: PRP is derived from the patient’s blood and contains concentrated platelets rich in growth factors. These growth factors promote healing, reduce inflammation, and stimulate the repair of damaged tissues.
Indications:
- Chronic ligament injuries (e.g., lateral ligament complex or deltoid ligament).
- Tendonitis or tendon tears (e.g., Achilles tendonitis).
- Subtalar or ankle joint arthritis.
- Persistent pain from fibrosis or scar tissue.
Advantages with Imaging:
- Direct injection into the damaged ligament or tendon ensures optimal healing.
- Effective in areas like the subtalar joint, which are challenging to access without imaging.
Fluoroscopy guided Platelet Rich Plasma injection of the ankle carried out under fluoroscopic guidance at Alleviate Pain Clinic, Bengaluru.
Prolotherapy
How It Works: Prolotherapy involves injecting a solution, typically dextrose, to create a mild inflammatory response. This stimulates the body’s natural healing processes, leading to collagen production and tissue regeneration.
Indications:
- Ligament laxity causing ankle instability.
- Chronic ankle sprains or recurrent injuries.
- Degenerative changes in the ankle or subtalar joint.
Advantages with Imaging:
- Precise delivery to lax ligaments or degenerated areas ensures effective stabilization.
- Reduces the likelihood of missing the targeted structure.
Stem Cell Therapy
How It Works: Stem cells derived from bone marrow or adipose tissue are injected into damaged tissues to regenerate cartilage, ligaments, and tendons. These cells have the potential to differentiate and repair damaged structures.
Indications:
- Advanced arthritis in the ankle or subtalar joint.
- Severe ligament injuries or tears.
- Chronic tendonitis unresponsive to conventional treatments.
Advantages with Imaging:
- Enhances the regenerative potential by ensuring precise placement in arthritic joints or torn ligaments.
- Ideal for complex injuries requiring focused therapy.
Indications for Surgery
- Ligament Reconstruction: Recommended for chronic instability due to severe ligament laxity and severe ligament tears that doesn’t improve with conservative or regenerative treatments.
- Ankle Replacement or Ankle fusion :Advanced arthritis not responsive to conservative or regenerative treatments.
- Malunion or non-union cases needing realignment or bone grafting.
- Debridement for removing scar tissue or repairing tendons.
When to Seek Help
If ankle pain persists or worsens despite conservative measures, it’s time to consult a specialist. Early intervention can prevent complications and restore mobility.
At Alleviate Pain Clinic, we offer a comprehensive range of diagnostic tools and treatments, from conservative care to cutting-edge regenerative therapies, ensuring the best outcomes for ankle pain relief.
Conclusion
Walking without pain is essential for leading an active and fulfilling life. If you’re experiencing ankle pain while walking, understanding its causes, symptoms, and treatments can pave the way for recovery. Don’t let pain slow you down—schedule a consultation at Alleviate Pain Clinic today for a personalized treatment plan.
References
- Fong, D. T.-P., Man, C.-Y., Yung, P. S.-H., Cheung, S. Y., & Chan, K.-M. (2008). “A Systematic Review on Ankle Injury and Ankle Sprain in Sports.” Sports Medicine.
(https://doi.org/10.2165/00007256-200838010-00004) - Hertel, J. (2002). “Functional Anatomy, Pathomechanics, and Pathophysiology of Lateral Ankle Instability.” Journal of Athletic Training.
(https://www.ncbi.nlm.nih.gov/pmc/articles/PMC164358/) - Valderrabano, V., Horisberger, M., Russell, I., Dougall, H., & Hintermann, B. (2009). “Etiology of Ankle Arthritis.” Clinical Orthopaedics and Related Research.
(https://doi.org/10.1007/s11999-008-0597-6) - Thomas, R. H., & Daniels, T. R. (2003). “Ankle Arthritis.” Journal of Bone and Joint Surgery.
(https://journals.lww.com/jbjsjournal/Abstract/2003/11000/Ankle_Arthritis.9.aspx) - Egol, K. A., Tejwani, N., Walsh, M., Capla, E., & Koval, K. J. (2010). “Predictors of Short-Term Functional Outcome Following Ankle Fracture Surgery.” Journal of Bone and Joint Surgery.
(https://journals.lww.com/jbjsjournal/Abstract/2010/12000/Predictors_of_Short_Term_Functional_Outcome.17.aspx) - Hubbard, T. J., & Cordova, M. L. (2009). “Mechanical Instability After an Acute Lateral Ankle Sprain.” Archives of Physical Medicine and Rehabilitation.
(https://doi.org/10.1016/j.apmr.2008.11.002) - Weber, B. G., & Cech, O. (1993). “Malunion and Nonunion of Long Bones: Diagnosis and Treatment.” Springer-Verlag.
- Hak, D. J., et al. (2014). “Nonunions: Diagnosis, Treatment, and Outcomes.” Injury Journal.
(https://doi.org/10.1016/j.injury.2014.04.002) - Firestein, G. S. (2003). “Evolving Concepts of Rheumatoid Arthritis.” Nature Journal.
(https://doi.org/10.1038/nature01661) - Plant, M. J., et al. (1998). “Patterns of Radiological Progression in Early Rheumatoid Arthritis: Results of an 8-Year Prospective Study.” The Journal of Rheumatology.
(https://pubmed.ncbi.nlm.nih.gov/9576633/) - Kjaer, M., et al. (2006). “From Mechanical Loading to Collagen Synthesis, Structural Changes, and Function in Human Tendon.” Scandinavian Journal of Medicine & Science in Sports.
(https://doi.org/10.1111/j.1600-0838.2006.00537.x) - Maffulli, N., et al. (2003). “Overuse Tendon Conditions: Time to Change a Confusing Terminology.” Arthroscopy Journal.
(https://doi.org/10.1016/S0749-8063(03)00275-5) - Khan, K. M., & Maffulli, N. (1998). “Tendon Injuries: Basic Science and Clinical Medicine.” British Medical Journal.
(https://www.bmj.com/content/316/7139/103) - Lehtinen, J. T., et al. (2000). “Bursitis of the Achilles Tendon.” Scandinavian Journal of Surgery.
(https://doi.org/10.1177/145749690009900109) - Delgado, G. J., Chung, C. B., Lektrakul, N., Azocar, P., Botte, M. J., & Resnick, D. (2004). “Tendon Injuries of the Ankle: MRI-MR Arthrography Correlation.” Radiographics Journal.
(https://doi.org/10.1148/rg.243035730) - Wukich, D. K., et al. (2008). “Current Concepts Review: Diagnosis and Treatment of Ankle Arthritis.” Journal of Bone and Joint Surgery.
(https://doi.org/10.2106/JBJS.H.00399) - Kon, E., et al. (2018). “Platelet-Rich Plasma for the Treatment of Chronic Tendinopathies: Biological Rationale and Clinical Evidence.” International Orthopaedics.
(https://doi.org/10.1007/s00264-018-3940-4) - Rabago, D., et al. (2009). “Prolotherapy in Primary Care Practice.” Primary Care Journal.
(https://doi.org/10.1016/j.pop.2009.06.012) - Murphy, M. B., et al. (2008). “Stem Cell Therapy for Chronic Diseases.” Nature Reviews Drug Discovery.
(https://doi.org/10.1038/nrd2526)